结核与肺部疾病杂志 ›› 2026, Vol. 7 ›› Issue (1): 80-85.doi: 10.19983/j.issn.2096-8493.20250159

• 论著 • 上一篇    下一篇

维持性血液透析患者合并颈部淋巴结结核一例并文献复习

张英奎1, 张关霞1, 杨自娟1, 王秀川1,2()   

  1. 1 甘肃省临夏回族自治州永靖县人民医院血液透析科,永靖 731600
    2 山东省济南市第四人民医院肾病学科,济南 250031
  • 收稿日期:2025-10-22 出版日期:2026-02-20 发布日期:2026-02-09
  • 通信作者: 王秀川, Email:drwangchuan@163.com
  • 基金资助:
    济南市卫生健康委员会科技发展计划项目(2024301010)

Cervical tuberculous lymphadenitis in a patient on maintenance hemodialysis: a case report and literature review

Zhang Yingkui1, Zhang Guanxia1, Yang Zijuan1, Wang Xiuchuan1,2()   

  1. 1 Department of Hemodialysis, Yongjing County People’s Hospital, Linxia Hui Autonomous Prefecture, Gansu Province, Yongjing 731600, China
    2 Department of Nephrology, The Fourth People’s Hospital of Jinan, Jinan 250031, China
  • Received:2025-10-22 Online:2026-02-20 Published:2026-02-09
  • Contact: Wang Xiuchuan, Email: drwangchuan@163.com
  • Supported by:
    Science and Technology Development Plan Project of Ji’nan Municipal Health Commission(2024301010)

摘要:

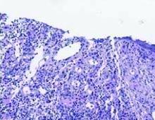
目的: 报道1例维持性血液透析(maintenance hemodialysis,MHD)状态合并颈部淋巴结结核患者的诊治过程,结合文献分析该病的临床特点、诊断思路、治疗策略及预后。方法: 以2005年1月至2025年5月为检索时间,在PubMed、中国知网、万方数据库中以“血液透析”和“结核”为关键词,检索到41篇文献,累计涉及肺外结核患者70例,最终纳入分析的MHD合并淋巴结结核患者共6例(含本例)。总结本例患者特征并进行入选患者文献复习。结果: 本例MHD合并颈部淋巴结结核患者为中年男性,既往有糖尿病、肾病病史,以急性心力衰竭入院,治疗期间发现无痛性颈部淋巴结肿大。经超声引导下穿刺活检,病理提示“慢性肉芽肿性炎”,活检组织结核分枝杆菌核酸扩增阳性,最终确诊。治疗采用异烟肼(isoniazid, H)、利福平(rifampicin, R)、吡嗪酰胺(pyrazinamide, Z)及乙胺丁醇(ethambutol, E)四联方案,并根据透析情况将吡嗪酰胺与乙胺丁醇调整为每周3次(透析后给药)。治疗2个月后患者颈部淋巴结缩小,病情得到有效控制。结合文献复习,有详细临床记录的MHD合并淋巴结结核患者共6例(含本例),平均年龄52岁,男性3例,女性3例,确诊主要依据淋巴结活检及分子生物学检测,经个体化抗结核治疗后均取得良好疗效。结论: MHD患者因免疫功能障碍,是肺外结核的高危人群,其临床表现多不典型。诊断应联合影像、免疫学及病理学检查,治疗则必须严格遵循指南,依据肾功能及透析情况对经典方案进行个体化调整(如调整药物剂量与给药频率)。

关键词: 血液和淋巴系统疾病, 肾透析, 结核, 治疗结果

Abstract:

Objective: To report the diagnosis and treatment process of a patient on maintenance hemodialysis (MHD) complicated with cervical tuberculous lymphadenitis, and to analyze the clinical features, diagnostic approach, treatment strategy, and prognosis of this condition by reviewing relevant literature. Methods: We conducted literature research using the keywords “hemodialysis” and “tuberculosis” in PubMed, CNKI, and Wanfang databases for paper published from January 2005 to May 2025, retrieved 41 articles involving a total of 70 extrapulmonary tuberculosis cases. Ultimately, 6 cases (including the present case) receiving maintenance hemodialysis (MHD) complicated with tuberculous lymphadenitis with complete clinical data were included for literature review and analysis. We then summarized the characteristics of this case and reviewed the literature on the included cases. Results: This patient with MHD complicated with cervical tuberculous lymphadenitis was a middle-aged to elderly male with a history of diabetic nephropathy. The patient was admitted due to acute heart failure, and during treatment, painless cervical lymphadenopathy was detected. Ultrasound-guided needle biopsy revealed pathology consistent with “chronic granulomatous inflammation,” and nucleic acid amplification of the biopsy tissue was positive for Mycobacterium tuberculosis, confirming the diagnosis. Treatment consisted of a four-drug regimen including isoniazid (H), rifampicin (R), pyrazinamide (Z), and ethambutol (E). Based on his dialysis schedule, the dosing frequencies of pyrazinamide and ethambutol were adjusted to three times per week (administered post-dialysis). After two months of treatment, the patient’s cervical lymph nodes significantly decreased in size, his disease condition was effectively controlled. A review of the literature identified a total of 6 cases (including the present one) of MHD combined with tuberculous lymphadenitis with detailed clinical records. Their mean age was 52 years, with 3 males and 3 females. Diagnosis was primarily based on lymph node biopsy and molecular biological test. All patients achieved favorable therapeutic outcomes following individualized anti-tuberculosis treatment. Conclusion: MHD patients were at high risk of extrapulmonary tuberculosis due to immune dysfunction, and their clinical manifestations are often atypical. Diagnosis should combine imaging, immunological and pathological examinations. Treatment must follow guidelines strictly, with individualized adjustments (such as modifying drug dosage and administration frequency) to the standard regimen based on renal function and dialysis status.

Key words: Hemic and lymphatic diseases, Renal dialysis, Tuberculosis, Treatment outcome

中图分类号: